Implantologia Guidata

Implantologia Guidata

L'implantologia guidata dal computer rivoluziona il trattamento impiantare portando maggior confort per il paziente e una minore invasività delle procedure chirurgiche.

Il principale vantaggio della chirurgia software assistita è dato dal fatto che la progettazione viene eseguita prima dell'intervento chirurgico, dalla posizione degli impianti alla costruzione della protesi, cosi' da poter pianificare il tutto. Se la protesi viene applicata nelle ore successive all' intervento si ha il cosidetto carico immediato. Con il Ray Set tutte queste lavorazioni (dalla dima radiologica alla dima chirurgica) vengono eseguite nel nostro laboratorio riducendo al minimo il pericolo di errori.

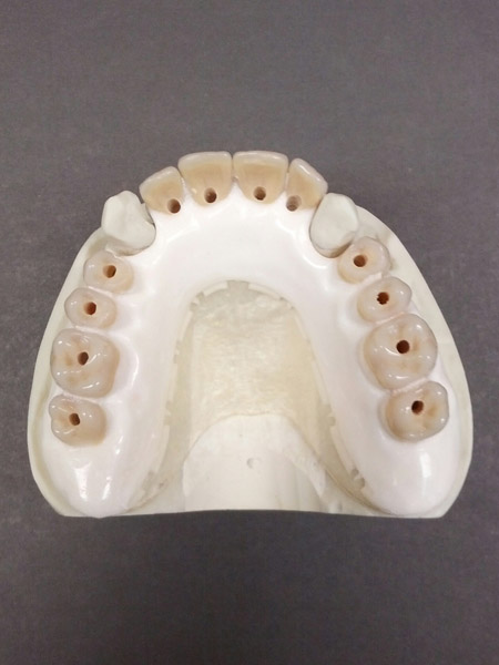
Caso 1

Impiantologia Guidata Caso 1 Impiantologia Guidata Caso 1 Impiantologia Guidata Caso 1 Impiantologia Guidata Caso 1 Impiantologia Guidata Caso 1 Impiantologia Guidata Caso 1 Impiantologia Guidata Caso 1 Impiantologia Guidata Caso 1

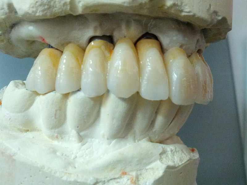
Caso 2

Impiantologia Guidata Caso 2 Impiantologia Guidata Caso 2 Impiantologia Guidata Caso 2 Impiantologia Guidata Caso 2 Impiantologia Guidata Caso 2 Impiantologia Guidata Caso 2 Impiantologia Guidata Caso 2 Impiantologia Guidata Caso 2

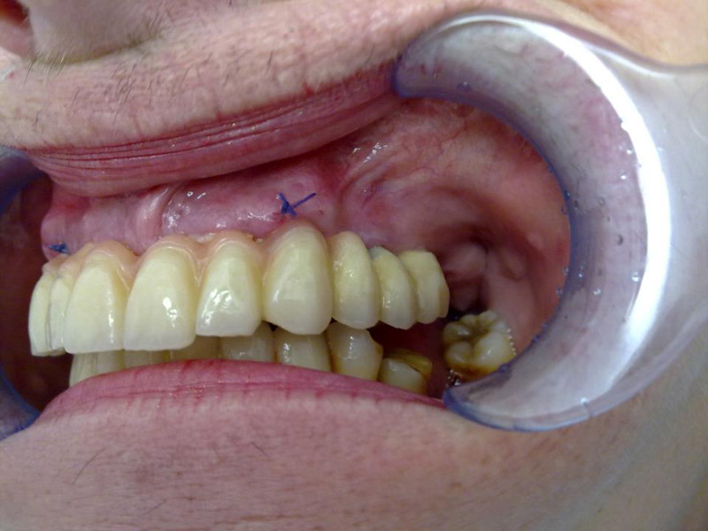
Caso 3

Impiantologia Guidata Caso 3 Impiantologia Guidata Caso 3 Impiantologia Guidata Caso 3 Impiantologia Guidata Caso 3 Impiantologia Guidata Caso 3 Impiantologia Guidata Caso 3 Impiantologia Guidata Caso 3 Impiantologia Guidata Caso 3 Impiantologia Guidata Caso 3 Impiantologia Guidata Caso 3 Impiantologia Guidata Caso 3

Caso 4

Impiantologia Guidata Caso 4 Impiantologia Guidata Caso 4 Impiantologia Guidata Caso 4 Impiantologia Guidata Caso 4 Impiantologia Guidata Caso 4 Impiantologia Guidata Caso 4 Impiantologia Guidata Caso 4